Fig. 5
From: Annexin A11 aggregation in FTLD–TDP type C and related neurodegenerative disease proteinopathies

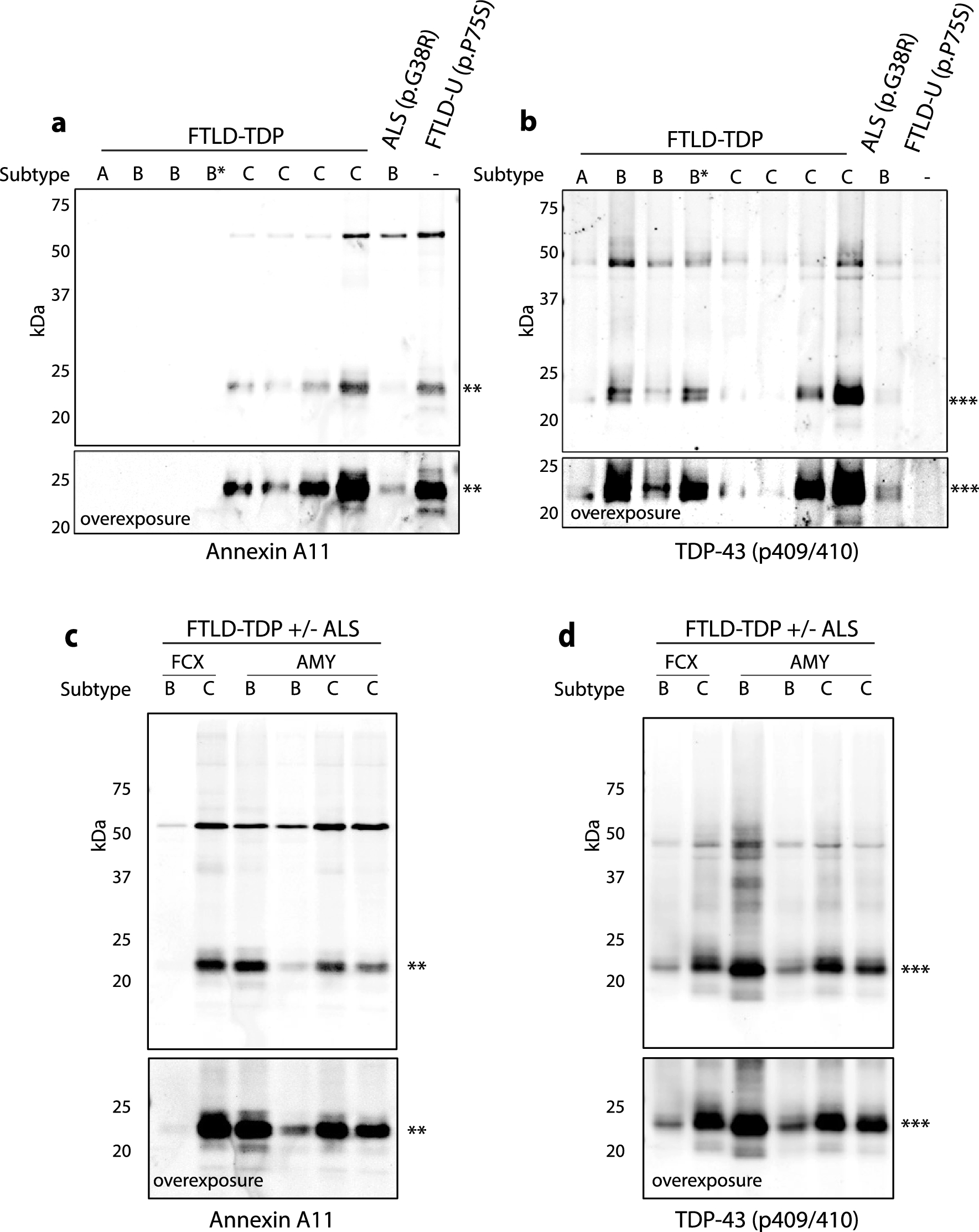
Biochemical analyses of annexin A11 and TDP-43 in FTLD–TDP and ANXA11 variant cases. Immunoblots against annexin A11 and TDP-43 of sarkosyl-insoluble fractions from ALS, FTLD–TDP and ANXA11 variant cases. For panels (a) and (b), lane 1 is an FTLD–TDP Type A case without annexinopathy, lanes 2–4 are FTLD–TDP Type B cases without annexinopathy where the asterisk denotes a case with concurrent ALS, and lanes 5–10 correspond to annexinopathy cases in this study (cases #26, 43, 18, 17, 2 & 1, respectively). a Annexin A11 positive bands were detected in all Type C cases and both ANXA11 variant cases at ~ 56 kDa and between 20 and 25 kDa (**), that were not detected in FTLD–TDP Type A or Type B cases without annexinopathy. b All FTLD–TDP cases and the ALS p.G38R variant show phosphorylated full-length TDP-43-positive bands at ~ 43 kDa and truncated TDP-43 between ~ 23 and 25 kDa (***). Truncated TDP-43 was not detected in the ANXA11 p.P75S variant case. For panels (c) and (d), lanes 1 and 2 are frontal cortex (FCX) while lanes 3 to 6 are amygdalar region (AMY) where lanes 1 to 6 correspond to cases #4, 17, 6, 7, 41 and 19, respectively. c Annexin A11 positive bands at ~ 56 kDa and between 20 and 25 kDa (**) were detected in all cases. d Same fractions were also positive for phosphorylated full-length TDP-43 at ~ 43 kDa and truncated TDP-43 between ~ 23 and 25 kDa (***)