Fig. 4

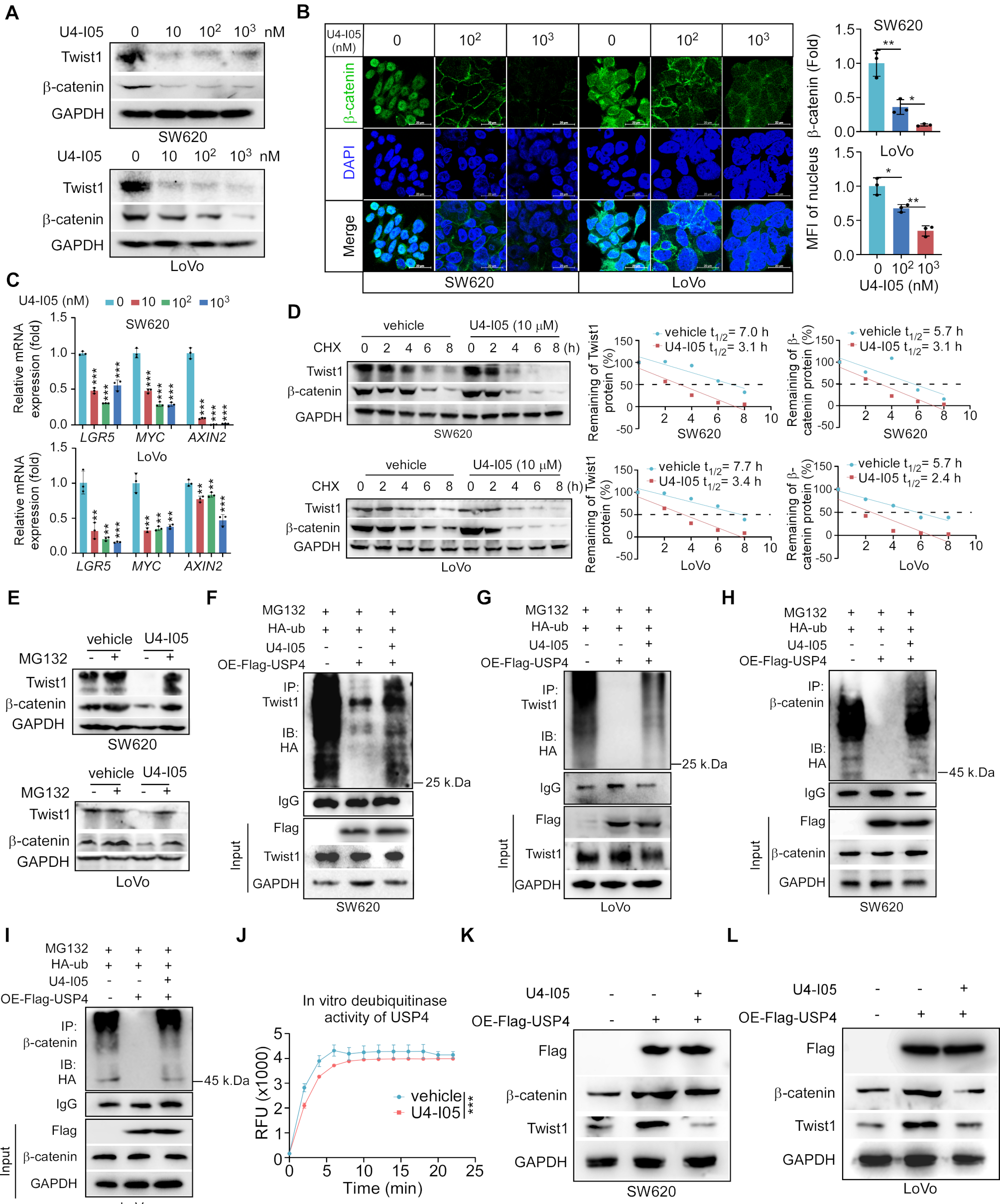
U4-I05 inhibits the protein expression of Twist1 and β-catenin by abolishing the deubiquitinating enzyme activity of USP4. (A) Western blot analysis of Twist1 and β-catenin in SW620 and LoVo cells treated with U4-I05 for 48 h. U4-I05 treatment reduced the protein levels of Twist1 and β-catenin. (B) Immunofluorescence staining of β-catenin in SW620 and LoVo cells treated with U4-I05 for 48 h. U4-I05 treatment inhibited the nuclear accumulation of β-catenin. (C) RT-qPCR analysis of AXIN2, MYC, and LGR5 mRNA levels in cells treated with U4-I05 for 48 h. U4-I05 significantly reduced the expression of these β-catenin downstream targets. Data are shown as mean ± SD (n = 3). **p < 0.01, ***p < 0.001. (D) SW620 and LoVo cells were treated with cycloheximide (CHX, 50 µg/mL) in the presence or absence of U4-I05 (10 µM). Twist1 and β-catenin levels were analyzed by western blot, and their half-lives were calculated. U4-I05 shortened the half-life of both proteins in SW620 and LoVo cells. (E) Cells were treated with MG132 (20 µM) and/or U4-I05 (10 µM) for 8 h, followed by western blot analysis. MG132 treatment blocked U4-I05-induced degradation of Twist1 and β-catenin in SW620 and LoVo cells. (F-I) Cells were transfected with the indicated plasmids and treated with MG132 (20 µM) and/or U4-I05 (10 µM) for 8 h. co-immunoprecipitation western blot analysis was performed to assess polyubiquitination of Twist1 (F-G) and β-catenin (H-I). USP4 expression reduced the polyubiquitination of Twist1 and β-catenin, which was reversed by U4-I05 treatment in SW620 and LoVo cells. (J) HEK293T cells were transfected with a Flag-USP4 expression plasmid. After 24 h, cells were harvested for protein extraction. Flag-USP4 was immunoprecipitated, and its deubiquitinase activity was measured with or without U4-I05 (10 nM). U4-I05 significantly inhibited deubiquitinase activity. (K-L) SW620 (K) and LoVo (L) cells expressing either vector control or Flag-USP4 were treated with U4-I05 (10 µM) for 8 h, followed by western blot analysis. U4-I05 treatment inhibited the upregulated expression of Twist1 and β-catenin induced by USP4